Xương đòn còn được gọi là xương quai đòn, xương quai xanh là một bộ phận trong tổng thể hệ thống xương hoàn chỉnh của con người. Mỗi người gồm có 2 xương đòn nằm ở dưới vai và đối xứng nhau qua ức.

Sở dĩ được gọi là xương đòn vì nó tương tự như một chiếc đòn gánh giúp nâng đỡ trọng lượng của toàn bộ cánh tay. Xương quai đòn khá mỏng và có dạng giống chữ S, làm nhiệm vụ kết nối xương bả vai với xương ức. Bằng mắt thường chúng ta hoàn toàn có thể nhận biết được xương này do nó nhô ra rõ ràng dưới lớp da mỏng.
Trong cuộc sống, sinh hoạt và lao động hàng ngày, xương đòn có thể bị gãy do một nguyên nhân nào đó, khiến ảnh hưởng tới sức khỏe của người bệnh. Gãy xương là một chấn thương nặng và cần được điều trị kịp thời, đúng cách. Bên cạnh đó việc sớm phục hồi chức năng cũng rất quan trọng, giúp người bệnh nhanh chóng hòa nhập trở lại. Trong nội dung dưới đây Daiviet Sport sẽ chia sẻ với các bạn về Vật lý trị liệu gãy xương đòn.
Vật lý trị liệu cho người bị gãy xương đòn

Vật lý trị liệu là nhánh quan trọng nhất trong Y học Phục hồi chức năng. Phục hồi chức năng cho người bệnh bao gồm áp dụng các kỹ thuật vật lý trị liệu, vận động, thuốc để thúc đẩy quá trình liền xương cũng như các chức năng của xương quai xanh; Đồng thời tránh các biến chứng nguy hiểm như teo cơ, cứng khớp vai.
Việc áp dụng vật lý trị liệu cho người bị gãy xương đòn tùy thuộc vào từng giai đoạn.
Giai đoạn bất động
Vật lý trị liệu nhằm mục đích cải thiện tuần hoàn máu, duy trì cơ lực ở các khớp, phòng ngừa teo cơ và cứng khớp.
Ở tuần 1 – 2, người bệnh cần tập vận động ngay sau khi được cố định xương bằng băng số 8.

Tập chủ động gập và duỗi các ngón tay.
Tập chủ động gập và duỗi cổ tay, khuỷu, cử động sấp và ngửa bàn tay, cẳng tay.
Tập cử động cột sống cổ.
Tập co cơ tĩnh một cách nhẹ nhàng ở vùng vai.
Ở tuần 3 – 4 thì các bài tập cũng tương tự như tuần 1 – 2 nhưng thêm động tác dang cánh tay để tạo sức ép vừa đủ vào đầu xương, kích thích xương liền nhanh hơn.
Giai đoạn sau bất động
Vật lý trị liệu nhằm mục đích giảm đau, giảm co thắt vùng đai vai, tăng cường sức mạnh, tầm vận động cũng như chức năng sinh hoạt của khớp vai.

Các kĩ thuật vật lý trị liệu thường được sử dụng gồm:
- Nhiệt trị liệu: Dùng paraffin hoặc tai hồng ngoại xa.
- Xoa bóp massage cho các cơ bị co cứng ở vùng cổ và vai.
- Tập mạnh cơ ở vùng đai vai (tùy theo co lực của người bệnh).
Người bệnh có thể tập chủ động có trợ giúp của chuyên viên trị liệu hoặc tự trợ giúp với sự hỗ trợ của các thiết bị vật lý trị liệu như: Phục hồi chức năng 4 trong 1, 3 trong 1, ròng rọc, giàn treo… để tăng tầm vận động.
Các bài tập tại nhà khác như bò trong tư thế gập – dạng vai, sử dụng tay lành để trợ giúp cho tay đau giúp thực hiện các động tác có sử dụng khớp vai. Hoặc các bài tập vận động khác: Bện thường, bắt bóng, ném bóng…
Lưu ý khi áp dụng vật lý trị liệu

Điều trị vật lý trị liệu để giúp người bệnh gãy xương đòn phục hồi chức năng cần tuân thủ các nguyên tắc sau:
- Tạo điều kiện tối đa cho quá trình liền xương cũng như các mô cơ ở xung quanh.
- Giảm đau, giảm sưng, chống dinh khớp, chống rối loạn tuần hoàn.
- Duy trì biên độ vận động khớp, ngừa teo cơ.
- Phục hồi được các chức năng cử động linh hoạt của bàn tay và các ngón sau thời gian bất động.
Nhiều người bệnh không được tiếp cận với quá trình tập luyện sau phẫu thuật, một số khác lại sợ đau, trong khi một số người có quan niệm sai lầm là nên hạn chế vận động tối đa và chờ xương liền mới tập vận động. Ở thời điểm 2 – 3 tháng sau thì các khớp gần xương bị gãy đã bị cứng, do đó việc tập luyện mất nhiều thời gian hơn, người bệnh cũng phải chịu nhiều đau đớn. Một số trường hợp việc tập luyện thậm chí còn không có kết quả và người bệnh phải đi phẫu thuật thêm một lần nữa để gỡ dính khớp. Xét về lâu dài thì khả năng hoạt động của khớp đó cũng bị hạn chế.
Lời khuyên của bác sĩ là sau khi gãy xương, bó bột thì bệnh nhân nên áp dụng vật lý trị liệu, vận động trị liệu với các thiết bị phục hồi chức năng. Thời gian lý tưởng là 1 – 3 tuần sau gãy xương (tùy theo tình trạng của người bệnh). Sau khi rời viện về nhà thì người tập vẫn thực hiện các bài tập theo chỉ dẫn của bác sĩ, định kì đi kiểm tra mức độ hồi phục cũng như bổ sung các bài tập mới.
Gãy xương đòn có nguy hiểm không?
Hầu hết các ca gãy xương ở vị trí này là do tai nạn giao thông, tai nạn xảy ra trong lúc lao động, và vấp ngã trong sinh hoạt hàng ngày. Thống kê cho thấy khoảng 80% các ca gãy xương quai xanh là do chấn thương gián tiếp khi ngã mà bị đập hoặc chống tay xuống; 20% các ca là gãy trực tiếp, và đa phần đều là chấn thương hở (xương chọc qua da thịt và lộ ra ngoài).

Gãy quai đòn là tai nạn thường thấy nhất ở vùng vai (khoảng 35 – 43%), và chiếm khoảng 4% số ca gãy xương cơ thể. Và thực tế ghi nhận gãy xương đòn bên trái phổ biến hơn bên phải. Nguyên nhân là do đa số chúng ta thuận tay phải, tay trái cũng như vai trái là bên không thuận và thường yếu hơn, do đó cũng dễ gãy hơn. Mặt khác, việc tham gia giao thông theo lề phải cũng khiến khi có tai nạn thì người tham gia giao thông thường có xu hướng chống xe bằng chân trái. Do đó, khi ngã cũng thường về phía bên trái. Gãy xương đòn ở vị trí giữa thường gặp hơn so với gãy ở đầu trong hoặc ngoài.
Xương đòn nằm ở vị trí nhiều dây thần kinh cũng như mạch máu quan trọng. Khi gãy có thể chỉ là gãy xương đơn thuần (cũng thường gặp hơn), nhưng cũng không hiếm trường hợp kéo theo các tổn thương khác ở mạch máu, thần kinh, màng phổi.

Gãy xương quai xanh thường ít gây nguy hiểm vì có màng xương dày, lại nằm ở vị trí phía trên của lồng ngực – là nơi được cung cấp lượng máu dồi dào nên cũng mau lành hơn khi gãy. Và mặc dù nằm gần các dây thần kinh, mạch máu quan trọng nhưng khi bị gãy và các đầu xương di lệch vẫn ít ảnh hưởng đến các bộ phận này.
Trong một số ca phức tạp, các mảnh xương sau khi gãy rời có thể chọc vào các bó thần kinh hoặc mạch máu nằm ở bên dưới gây chảy máu nghiêm trọng hoặc liệt chi trên. Đầu xương gãy có thể chọc vào phần đỉnh của phổi và gây tràn khí, tràn máu màng phổi, suy hô hấp, từ đó đe dọa tính mạng của bệnh nhân. Những trường hợp hiếm gặp hơn như gãy đồng thời cả 2 xương đòn thì sẽ gây khó thở do mỗi khi thở thì xương quai đòn cử động và gây nhiều đau đớn.
Phương pháp điều trị gãy xương đòn
Trước khi tiến hành điều trị thì các bác sĩ sẽ phải khám chi tiết để có cái nhìn cụ thể về tình trạng gãy xương, từ đó đưa ra phương án tối ưu.

Các chẩn đoán lâm sàng sẽ dựa vào các biển hiện như: Đau, sưng nề, biến dạng ở vùng vai (vị trí gãy gồ lên dưới da), khi ấn vào có dấu hiệu dập dềnh, có tiềng lạo xạo của gãy xương, giảm hoặc mất cơ năng ở vai.
Tiếp đó các bác sĩ sẽ tiến hành chụp X-quang để xác định chính xác đường gãy, vị trí, sự di lệch của xương quai xanh. Chụp CT cắt lớp cũng có thể được thực hiện để xác định kiểu gãy, di lệch. Ngoài ra, nếu cần phải mổ thì sẽ thực hiện các xét nghiệm cũng như cận lâm sàng trước mổ.
Hiện nay, điều trị gãy xương đòn được tiến hành theo 2 cách là phẫu thuật và điều trị bảo tồn.
Điều trị bảo tồn
Hầu hết bệnh nhân bị gãy xương đòn thường đặt ra câu hỏi: Gãy xương đòn có cần bó bột hay không?

Theo các bác sĩ: Đặc điểm của gãy xương đòn là thường dễ liền hơn so với các xương khác trên cơ thể. Tuy nhiên việc nắn chỉnh và cố định xương ở một chỗ là khó. Nếu như trước kia các bác sĩ sẽ thực hiện bó bột cho bệnh nhân thì ngày nay phương pháp điều trị bảo tồn không cần phải làm điều này, bởi nó gây nhiều bất tiện cho người bệnh trong sinh hoạt đời thường. Thay vào đó các bác sĩ áp dụng cách bảo tồn nhẹ nhàng hơn là sử dụng băng số 8 hoặc áo Dasault để giúp cố định lại xương bị gãy.
Phương pháp điều trị bảo tồn thường được áp dụng với hầu hết các ca gãy xương quai xanh. Tuy nhiên, do không thể nắn hết các di lệch nên xương thường liền lệch (can lệch), mặc dù vậy điều này không ảnh hưởng tới các chức năng của vai cũng như khớp vai.
Điều trị phẫu thuật

Không nhiều trường hợp gãy xương đòn phải tiền hành điều trị bằng phương pháp phẫu thuật vì xương này nhanh liền. Các trường hợp sau đây sẽ được bác sĩ chỉ định phẫu thuật: Gãy xương đòn kèm theo các tổn thương ở thần kinh, mạch máu, thủng màng phổi, gãy xương chọc thủng da (hoặc đe dọa chọc thủng da), xương đòn sau khi gãy bị di lệch nhiều, gãy xương đòn kèm theo xương sườn hoặc các xương cẳng tay, cánh tay, ngón tay.
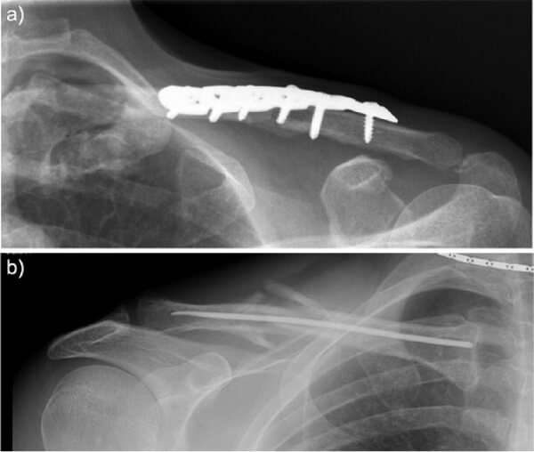
Phẫu thuật gồm có 2 kỹ thuật là: Sử dụng đinh Kirschner và phẫu thuật kết hợp xương với nẹp vít.
Ưu điểm của phẫu thuật là giúp người bệnh nhanh chóng liền xương nhưng kèm theo đó cũng có những rủi ro như nguy cơ bị viêm xương, nhiễm trùng tại vết mổ, gãy nẹp, chồi đinh, có sẹo mổ ở vùng trước của xương đòn khiến ảnh hưởng tới thẩm mỹ.
Gãy xương đòn bao lâu thì lành ?
Gãy xương nói chung, và gãy xương quai xanh nói riêng đều cần có một khoảng thời gian nhất định để có thể lành lại. Tùy thuộc vào mức độ chấn thương cũng như phương pháp điều trị, khả năng bất động của người bệnh mà thời gian lành cũng khác nhau.

Phương pháp điều trị bảo tồn cần thời gian 2 – 3 tháng, và người bệnh cũng phải mang đai trong suốt khoảng thời gian này.
Phương pháp phẫu thuật thì người bệnh có thể hoạt động trở lại sớm hơn so với phương pháp bảo tồn nhờ vào các phương tiện được bác sĩ đặt vào bên trong.
Một điều quan trọng để giúp rút ngắn thời gian bình phục là người bệnh cần tăng cường bổ sung vitamin D, canxi thông qua chế độ dinh dưỡng phục hợp để quá trình liền xương diễn ra nhanh chóng, thuận lợi hơn.
Trong thời gian chờ liền xương thì người bệnh cũng nên đi khám định kì theo chỉ định của bác sĩ để có thể theo dõi tốt nhất tình trạng liền xương cũng như được can thiệp kịp thời nếu có dấu hiệu bất thường xảy ra.
Trên đây là một số chia sẻ từ Daiviet Sport về Vật lý trị liệu gãy xương đòn. Nếu các bạn thắc mắc nào khác hoặc có nhu cầu trang bị các máy tập thể dục, dụng cụ phục hồi chức năng… Hãy liên hệ với chúng tôi để được tư vấn cụ thể !
