Viêm nha chu là căn bệnh răng miệng thường gặp ở nhiều độ tuổi, bệnh biểu hiện lúc nhẹ bao gồm sưng nướu, đau đơn khi ăn hoặc hôi miệng khiến bệnh nhân mất tự tin khi giao tiếp. Khi bệnh trở nặng người bệnh có thể phải thay răng giả, nếu không được điều trị kịp thời có nguy cơ cao mắc các bệnh tim mạch và huyết áp.
► Máy chạy bộ điện món quà tặng sếp dịp Tết 2018
► Mua máy chạy bộ nội địa Nhật ở đâu uy tín?
► Máy chạy bộ điện Đại Việt có tốt không ?
1. Bệnh nha chu là gì?
Theo các chuyên gia, bệnh nhan chu là tình trạng nhiễm trùng nướu nghiêm trọng gây tổn thương các mô mềm và phá hủy men răng. Răng có thể bị yếu hoặc mất bởi viêm nha chu, dẫn tới đau tim, đột quỵ hoặc một số vấn đề về sức khỏe vô cùng nghiêm trọng.

Ngoài ra, bệnh nha chu còn là tình trạng phổ biến dễ dàng được ngăn chặn. Nguyên nhân do không vệ sinh răng miệng thường xuyên, vì thế các bác sỹ khuyến cáo bệnh nhân nên ít nhất đánh răng ngày một lần hoặc dùng chỉ nha khoa, kiểm tra sức khỏe răng miệng thường xuyên.
- Các triệu chứng phổ biến của bệnh nha chu là:
+ Nướu bị sưng
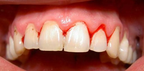
+ Lợi có màu đỏ hoặc tím nhạt
+ Đau khi chạm vào nướu
+ Nướu bị rút, tụt lại, làm cho chân răng trông dài hơn bình thường
+ Giữa hai hàm răng hình thành khoảng trống
+ Mủ xuất hiện giữa răng và nướu răng
+ Hơi thở hôi
+ Ăn không ngon
+ Rụng răng
+ Tổ chức răng thay đổi khi bạn cắn
+ Nướu chảy máu trong và sau khi đánh răng
Ngoài ra bạn có thể gặp các triệu chứng khác không được liệt kê ở trên, nếu bạn có bất kì thắc mắc nào hãy tới ngay gặp bác sỹ để điều trị kịp thời.
2. Khi nào bạn cần gặp bác sĩ?
Thực tế đã cho thấy nướu răng khỏe mạnh là nướu chắc chắn và có màu hồng nhạt. Nếu phát hiện thấy chúng sưng và sẫm đỏ, dễ chảy máu thì có thể là do bệnh nha chu. Lúc này bạn hãy tới gặp bác sỹ để được điều trị kịp thời. Ngoài ra, cơ địa của mỗi người là khác nhau vì thế hãy hỏi ý kiến bác sỹ để có phương án tốt và thích hợp nhất bạn nhé.

- Nguyên nhân nào gây bệnh nha chu?
Một số nguyên nhân chủ quan và khách quan có thể gây bệnh viêm nha chu bao gồm:
+ Thay đổi nội tiết, trong thời gian mang thai hoặc tuổi dậy thì bị mãn kinh, kì kinh nguyệt hàng tháng là một số giai đoạn có thể khiến nướu bị nhạy cảm, bệnh viêm lợi cũng xuất hiện dễ dàng hơn.
+ Bệnh tật: Một số bệnh nhân mắc bệnh ung thư hoặc HIV có hệ thống miễn dịch bị suy giảm, bệnh nhân mắc bệnh tiểu đường cũng là đối tượng có nguy cơ bị viêm nha chu cao, tạo điều kiện cho bệnh viêm lợi xuất hiện dễ dàng trông thấy.
+ Sử dụng thuốc: Một số loại thuốc có thể khiến lượng nước bọt giảm đi đáng kể, lượng nước bọt này có tác dụng bảo vệ răng và nướu răng. Ngoài ra, các loại thuốc như thuốc chống co giật, thuốc chống đau thắt ngực cũng ảnh hưởng tới sự phát triển bất thường của mô nướu.
Thói quen xấu như hút thuốc lá có thể gây ra tỏn thương mô nướu rất khó để tự phục hồi
+ Thói quen vệ sinh răng miệng kém, không đánh răng và không dùng chỉ nha khoa hàng ngày tạo điều kiện cho bệnh viêm lợi hình thành dễ dàng.
+ Tiền sử gia đình mắc bệnh răng miệng.
+ Nguy cơ mắc phải
- Những yếu tố nào làm tăng nguy cơ bị bệnh nha chu?
+ Có nhiều yếu tố làm tăng nguy cơ mắc bệnh nha chu, chẳng hạn như:
+ Di truyền
+ Thói quen vệ sinh răng miệng kém
+ Sử dụng thuốc lá
+ Bệnh nhân mắc tiểu đường
+ Những người cao tuổi
+ Những người có hệ thống miễn dịch suy giảm, chẳng hạn với bệnh nhân bị bạch cầu hoặc HIV/AIDS và hóa trị liệu.

+ Dinh dưỡng kém
+ Một số loại thuốc
+ Lạm dụng chất gây nghiện
+ Phục hình răng với chất lượng không tốt
+ Vấn đề về cấu trúc khớp cắn
+ Điều trị hiệu quả
Trên đây là toàn bộ thông tin mà chúng tôi vừa chia sẻ về bệnh viêm nha chu. Nếu bạn có bất kì thắc mắc cần tư vấn có thể liên hệ với chúng tôi qua Hotline: 1900/6753 để được tư vấn cụ thể.
Sản phẩm khác : ghế massage giá rẻ, máy chạy bộ điện.